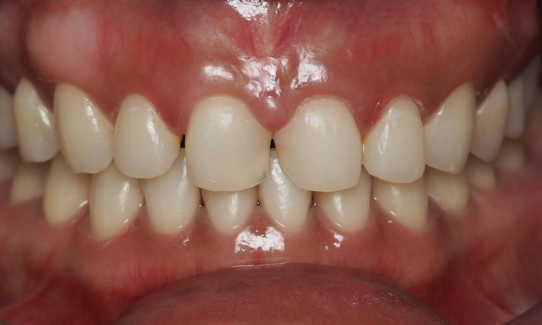
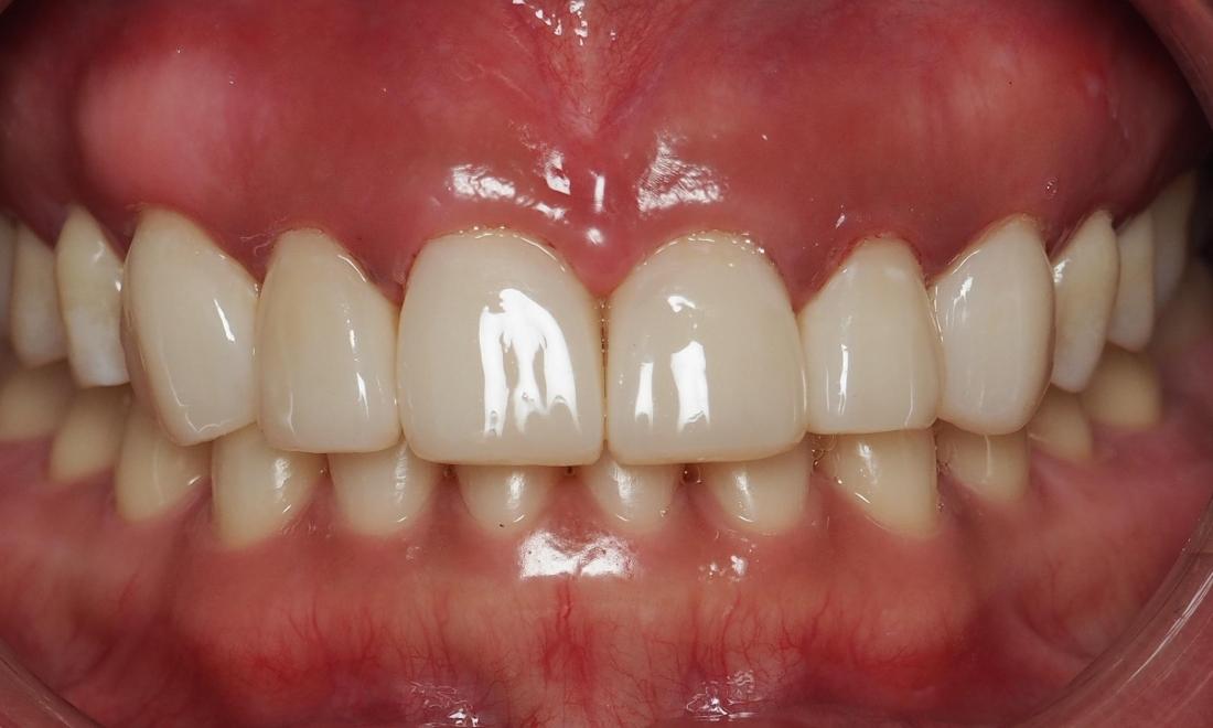
Bioclear® cosmetic bonding for acid erosion
 
This young lady had previously suffered from a stomach issue which lead to acid erosion of her teeth. After completing orthodontic treatment, she saw us to restore the enamel she had lost. She chose to use the Bioclear® technique because it is quick, affordable, and saved her remaining tooth structure. We bonded tooth colored filling material to create a beautiful new smile in a single appointment.
 
- 
  Before 
 
  After 
 
 
 
 
 
 
 
Our Mission
Our mission is to deliver the highest quality dentistry in a warm and welcoming environment. We want to provide a safe, friendly place for patients that allows them to trust our staff to care for their dental needs. The office will be clean, organized, and well-maintained. Our staff will be highly trained and offer exceptional service. They will work as a team and gain satisfaction from contributing to an amazing experience for the patient.
Read About Our Services