Accessible Version
Springs Family Dental

Friendly Staff, Beautiful Smiles,

Welcoming Environment

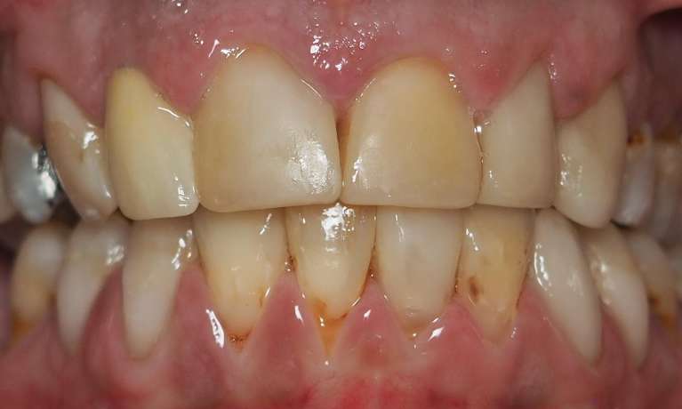
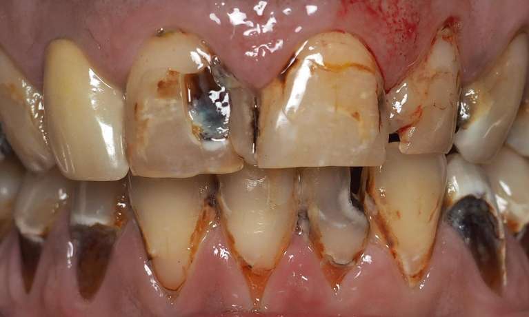
Smile Gallery: Periodontal Disease

Everyone deserves to have a happy and healthy smile. Here at Springs Family Dental, we offer a variety of cosmetic dental options to fit your family’s needs. From professional teeth whitening and porcelain veneers to dentures and everything in between, you’re sure to leave our Colorado Springs dental office with a smile on your face.

If you’re interested in seeing how your smile could potentially look with one of our treatment options, please browse our smile gallery below.

Getting an appointment is fast and easy!
Daniel

This place is great! Dr. Terveen is super skilled, extremely personable, and professional. His staff, including Lindita and several other, are wonderful. Definitely recommend.

If you have difficulty using our website, please email us or call us at (719) 634-4805
View the ADA Accessibility Statement