Dental Fillings in Colorado Springs, CO
At Springs Family Dental, we know that sometimes cavities happen, and we want you to know that we are here for you and your family. With natural-looking fillings that blend beautifully with your own enamel, we can restore your tooth and its functionality – and nobody will ever know that you’ve had a cavity.
What Causes Cavities?
The best way to understand how to prevent cavities is to understand the cavity-producing process. Your Colorado Springs dentist explains.
Everyone’s mouth is teeming with bacteria. This is normal, and most of those bacteria are actually useful and a part of your body’s healthy ecology.
These bacteria feed on the traces of the food you eat that are left in your mouth. As they metabolize these food particles, they produce acid. Over time, this acid can damage the structure of the teeth. Diligently brushing and flossing helps remove plaque, a sticky mixture of saliva, food particles, and bacteria that clings to your teeth.
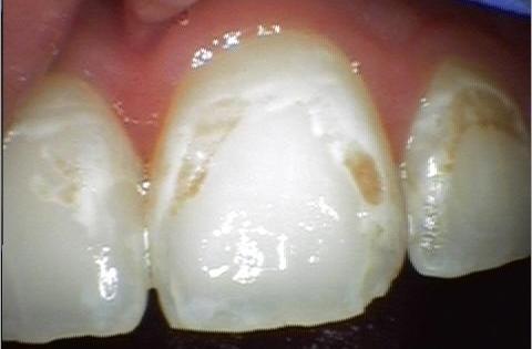
If plaque is allowed to remain in place for too long, the acid erodes parts of your tooth, creating a hole. This is a cavity. If left untreated, the cavity will grow, allowing bacteria to penetrate further into the tooth and cause pain.
How Do Fillings Work?
Dr. Terveen will remove the decay in and around your tooth and then restore it using a composite resin filling.
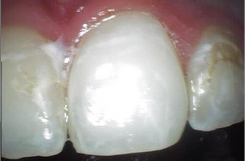
Composite resin fillings are both durable and natural-looking. We'll match the new filling to your tooth’s coloring so they blend together, which means nobody will be able to tell the difference between the two.
How Much Do Dental Fillings Cost?
Dental filling costs vary by the complexity of your tooth decay, the materials used, and other factors. While the average cost is approximately $233 to $464, your final price may fall outside the average. A team member will explain why.
How Can I Prevent Cavities?
The best ways to prevent cavities are to practice proper dental hygiene at home and schedule regular cleanings at our Colorado Springs dental office.
Brushing twice daily with a soft-bristled toothbrush and fluoridated toothpaste can greatly reduce the amount of food particles and bacteria in your mouth. Flossing after brushing can remove plaque that gathers between the teeth and just below the gum line.
Regular cleanings and check-ups play a huge part in preventing cavities and other dental decay. We recommend that you visit us at least every six months for a regular cleaning and checkups with Dr. Michael Terveen and our team.
If you have ongoing conditions, such as gum disease, we may recommend more frequent visits. This allows us to find issues before they progress. The more often we are able to see you, the less chance there is of you needing emergency care for preventive dental issues.
Proper dental hygiene coupled with regular visits at Springs Family Dental will give you the best chance of reducing your need for fillings, crowns, or other restorative dental care. We want to work with you to prevent unnecessary dental decay.
Make an Appointment Today for Fillings in Colorado Springs!
Whether you are concerned that you may have a cavity or you know that it is time for your regular cleaning, we would love to hear from you. Give us a call to make an appointment today.
Frequently Asked Questions
Fillings in Colorado Springs
Even with diligent brushing and flossing alongside dental check-ups, cavities can still happen. In the past, the only options for fillings were porcelain, gold, or silver amalgam materials. The problem with metal amalgams is their tendency to darken over time, as well as requiring removal of healthy tooth structure to hold the filling.
With advancements in dental technology and materials, our Colorado Springs dental office can now offer tooth-colored composite resin fillings. Not only do tooth-colored fillings blend in seamlessly with your smile, but they also require less removal of your tooth structure to bond with your tooth.
Tooth-Colored Composite Fillings
Our office provides a variety of different filling materials to suit the individual needs of each patient; however, most of these fillings are tooth-colored composite. Composite has many benefits, such as blending naturally with the tooth, bonding to the remaining structure, and acting relatively inert in your mouth.
A tooth-colored filling can also be used in dental bonding—which allows Dr. Michael Terveen to change the size, shape, and shade of your existing teeth.
Contact Your Colorado Springs Dentist
Whether you have a cavity that needs to be filled, or you are interested in filling in gaps between your teeth or changing the size and shape of your smile, we can provide the dental procedure you need.
If you have any questions about tooth-colored fillings or any other type of fillings, please call us at Springs Family Dental today! Our knowledgeable dental staff is always happy to help educate and inform our Colorado Springs patients.
Amy
I went through several subpar dentists before I found Dr. Terveen. He knows what he's doing, explains everything clearly and is super friendly. Jolene who cleaned my teeth is amazing! Very kind and thorough. The receptionist is very friendly as well I think her name is Tonya. I've had multiple services there now but most notably I had a cavity that was filled incorrectly by another dentist and was giving me issues for months. Dr. Terveen took it on and was able to fix the complex issue! He also pointed out to me that I could have a potential health issue that slew of other doctors never mentioned. I got tested and did end up having the issue he suspected.. which explained many years of unexplained health symptoms Just one of which was dental related! He doesn't believe in putting Band-Aids on for things and he's the first of any doctor or dentist to look at the root cause of something. Definitely go here for an honest and high quality dentist that won't waste your time or money. Thank you Dr. Terveen!
Meet Our Doctor:
Michael Terveen DDS, FAGD, FICOI
Originally from Spearfish, South Dakota, Dr. Terveen moved to Colorado Springs in 2015. He loves treating patients and getting to know them on a personal level and he knows that improving a patient’s dental health can positively impact their overall health.
Dr. Terveen earned bachelor’s degrees in both biology and chemistry from the University of Sioux Falls. He then went on to earn his Doctorate of Dental Surgery from the ...