Accessible Version
Springs Family Dental

Friendly Staff, Beautiful Smiles,

Welcoming Environment

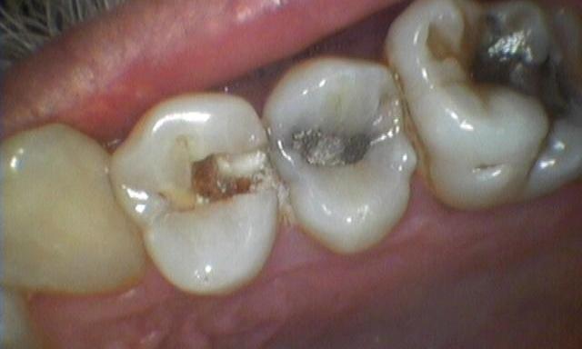
Smile Gallery: Tooth-Colored Fillings

Everyone deserves to have a happy and healthy smile. Here at Springs Family Dental, we offer a variety of cosmetic dental options to fit your family’s needs. From professional teeth whitening and porcelain veneers to dentures and everything in between, you’re sure to leave our Colorado Springs dental office with a smile on your face.

If you’re interested in seeing how your smile could potentially look with one of our treatment options, please browse our smile gallery below.

Improve your smile today – call to schedule a consultation!
Amy

I went through several subpar dentists before I found Dr. Terveen.  He knows what he's doing, explains everything clearly and is super friendly.  Jolene who cleaned my teeth is amazing!  Very kind and thorough. The receptionist is very friendly as well I think her name is Tonya.  I've had multiple services there now but most notably I had a cavity that was filled incorrectly by another dentist and was giving me issues for months.  Dr. Terveen took it on and was able to fix the complex issue!  He also pointed out to me that I could have a potential health issue that slew of other doctors never mentioned.  I got tested and did end up having the issue he suspected.. which explained many years of unexplained health symptoms Just one of which was dental related!  He doesn't believe in putting Band-Aids on for things and he's the first of any doctor or dentist to look at the root cause of something.  Definitely go here for an honest and high quality dentist that won't waste your time or money.  Thank you Dr. Terveen!

If you have difficulty using our website, please email us or call us at (719) 634-4805
View the ADA Accessibility Statement