Accessible Version
Springs Family Dental

Friendly Staff, Beautiful Smiles,

Welcoming Environment

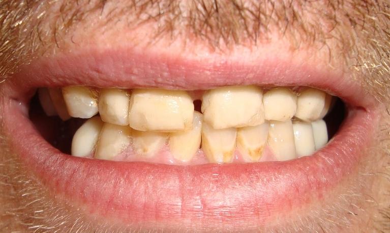
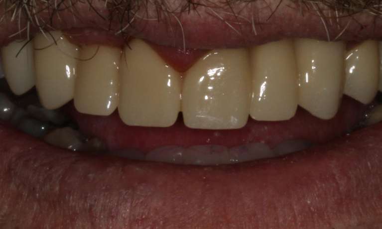
Smile Gallery: Dental Crowns

Everyone deserves to have a happy and healthy smile. Here at Springs Family Dental, we offer a variety of cosmetic dental options to fit your family’s needs. From professional teeth whitening and porcelain veneers to dentures and everything in between, you’re sure to leave our Colorado Springs dental office with a smile on your face.

If you’re interested in seeing how your smile could potentially look with one of our treatment options, please browse our smile gallery below.

Still need an appointment?
Jeremus

Top notch dentistry with an incredibly friendly staff. I move around a lot, and I've dealt with a good number of dentists. Dr. Terveen and his staff are among the very best.

During my time working with him, he did several fillings and a crown for me, as well as my regular cleanings and x-rays. They use the latest technology and dental techniques, and they do excellent work.

If you have difficulty using our website, please email us or call us at (719) 634-4805
View the ADA Accessibility Statement
Privacy Policy