Accessible Version
Springs Family Dental

Friendly Staff, Beautiful Smiles,

Welcoming Environment

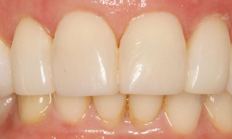
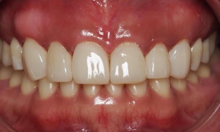
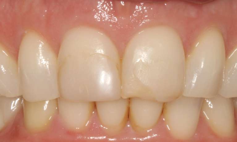
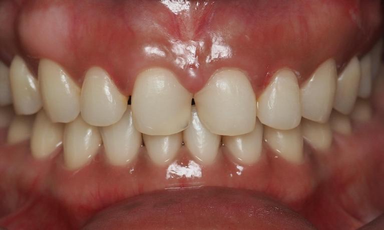
Smile Gallery: Dental Bonding

Everyone deserves to have a happy and healthy smile. Here at Springs Family Dental, we offer a variety of cosmetic dental options to fit your family’s needs. From professional teeth whitening and porcelain veneers to dentures and everything in between, you’re sure to leave our Colorado Springs dental office with a smile on your face.

If you’re interested in seeing how your smile could potentially look with one of our treatment options, please browse our smile gallery below.

Schedule Your Appointment Online
Alissa

Michael the dentist, and Cheryl his assistant were so kind, gentle and thoughtful.  I went in for bonding of some teeth... Michael Really listened to what I was looking for, And went Beyond my expectations!! He is very skilled, and I will be going back for more in a month!! Highly, highly recommend....and I did not have to be numbed either... Phenomenal job!!

If you have difficulty using our website, please email us or call us at (719) 634-4805
View the ADA Accessibility Statement