Accessible Version
Springs Family Dental

Friendly Staff, Beautiful Smiles,

Welcoming Environment

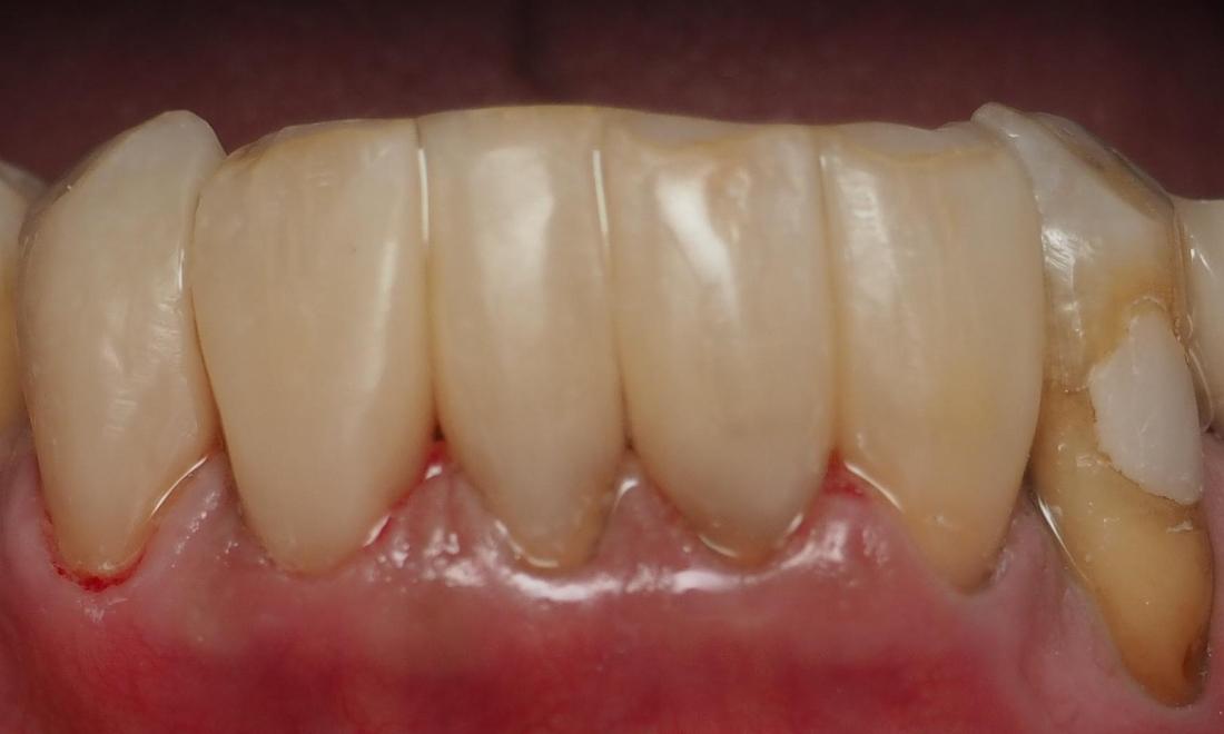
BioClear® bonding for black triangles

As we age, gum recession can lead to unsightly "black triangles" in our smile. Fortunately, we are specially trained to provide patients with the BioClear® method.

This allows us to cosmetically bond the black triangles without cutting the tooth, leading to a stronger and more pleasing look. The procedure is relatively painless and can be done in just a few hours.

What Is BioClear?

The BioClear method essentially adds composite resin material to the teeth without eliminating any natural tooth structure or compromising the tooth's integrity. This provides strength, durability, and aesthetics for the patient's smile. 

To learn more about BioClear in Colorado Springs, contact your Springs Family Dental team at (719) 634-4805 to book an evaluation with Dr. Terveen. 

 

Related Services:

Dental Bonding

Service Performed By:

Michael Terveen
Improve your smile today – call to schedule a consultation!
If you have difficulty using our website, please email us or call us at (719) 634-4805