Accessible Version
Springs Family Dental

Friendly Staff, Beautiful Smiles,

Welcoming Environment

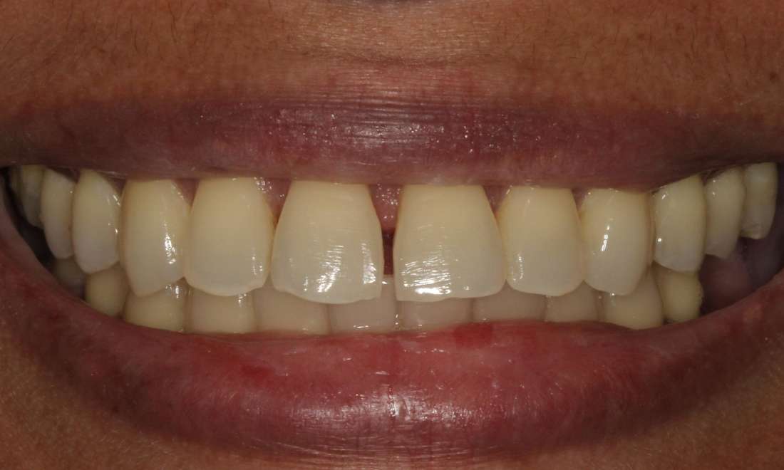
BioClear® Cosmetic Bonding

We recently helped a patient who wasn't happy with the spaces and shape of her front four teeth. She wanted a confident, natural looking smile without the invasiveness of traditional procedures. We used the Bioclear cosmetic bonding technique, a modern, conservative approach to enhancing smiles. With Bioclear: no tooth structure was removed, no anesthetic needed, custom color-matched composite resin, spaces (diastemas) closed beautifully, improved tooth shape/overall appearance, and all completed in just a couple of hours! 

Related Services:

Cosmetic Dentistry
Getting an appointment is fast and easy!
If you have difficulty using our website, please email us or call us at (719) 634-4805