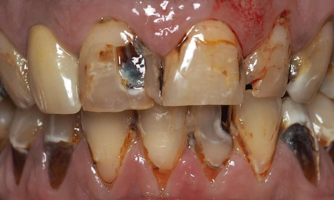
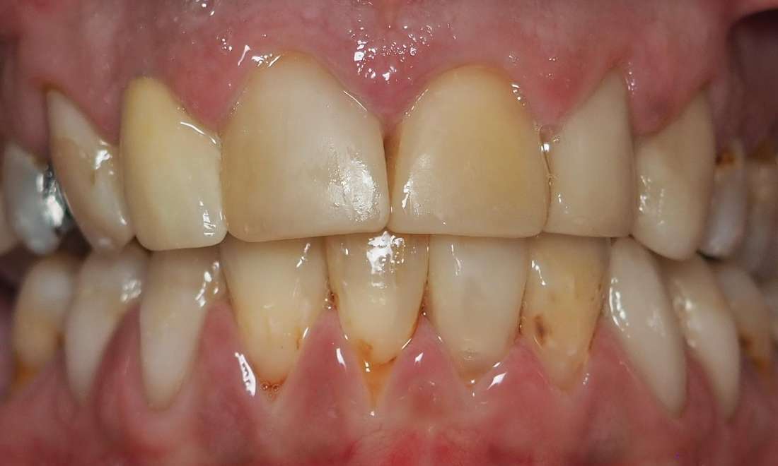
Cavity Resistant Fillings
Patient had years of dental neglect, poor dietary habits, and smoking that lead to rampant tooth decay and gum disease. Gum treatment was provided to improve gum health, and special cavity resistant fillings were placed once the decay was removed. The patient also made some behavior changes that lead to much better oral health. These fillings stabilized the teeth, and will last for a number of years until the patient is ready for cosmetic treatment!
-
Before
After
Improve your smile today – call to schedule a consultation!
Claim Now!
Our Mission
Our mission is to deliver the highest quality dentistry in a warm and welcoming environment. We want to provide a safe, friendly place for patients that allows them to trust our staff to care for their dental needs. The office will be clean, organized, and well-maintained. Our staff will be highly trained and offer exceptional service. They will work as a team and gain satisfaction from contributing to an amazing experience for the patient.
Read About Our Services