Accessible Version
Springs Family Dental

Friendly Staff, Beautiful Smiles,

Welcoming Environment

Ceramic Crowns

At Springs Family Dental, we believe that not all crowns are created equal. Our commitment to excellence ensures that every patient receives high-quality, custom-crafted crowns designed to enhance both the function and appearance of their smile.
 
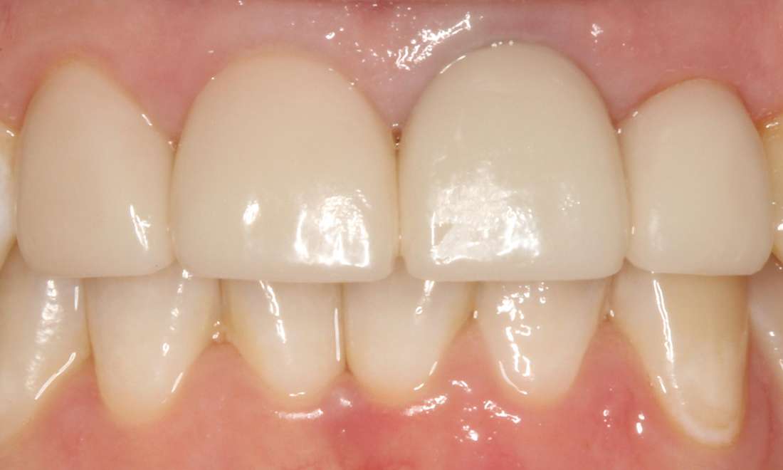
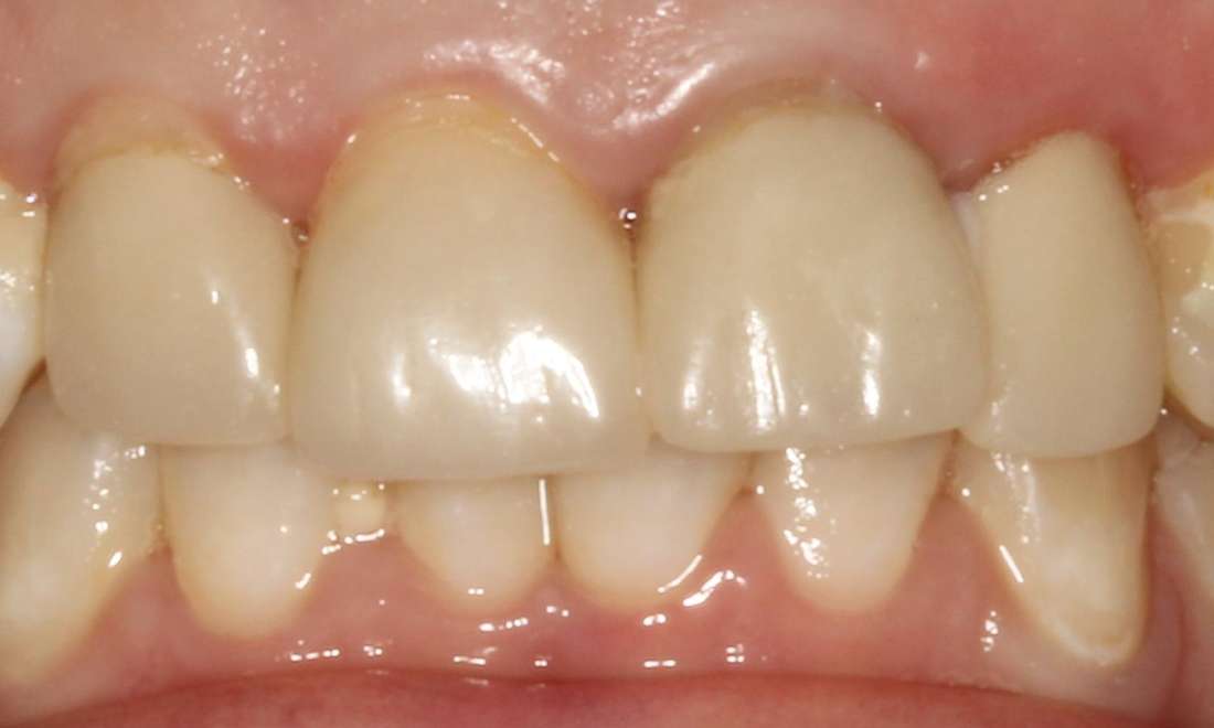
In the before photos, you can see the patient’s existing crowns. They were uneven, improperly sized, and caused irritation to the gum tissues. This not only affected the overall aesthetics of the smile but also compromised oral health, leading to red, inflamed gums.
 
By utilizing modern materials and techniques, along with crowns crafted by a master dental technician, we transformed the patient’s smile. The after photos showcase beautifully aligned crowns that fit perfectly, restoring both function and beauty. The gums are now healthy and pink, highlighting the importance of choosing the right dental care.
 
At Springs Family Dental, we pride ourselves on delivering superior results that go beyond just fixing dental issues. Our focus is on providing comprehensive care that leads to long-term oral health and confidence in your smile.
 
Schedule a consultation with us today and discover the difference that expert care can make in your smile!
 
Henry

Highly Recommended! Everyone is friendly and they make you feel right at home. I was really nervous coming to this appointment as I departed my previous dentist after an 2 issues had occurred. The staff of Dr Terveen's office made sure I was comfortable throughout the whole process and explained everything they were doing. They explained my options, gave me the pro's and con's to make a better choice. They actually showed me pictures of my teeth, before and after the work was completed.  I wish my wife and I would have changed over sooner.

Ready to book an appointment?
If you have difficulty using our website, please email us or call us at (719) 634-4805
View the ADA Accessibility Statement