Accessible Version
Springs Family Dental

Friendly Staff, Beautiful Smiles,

Welcoming Environment

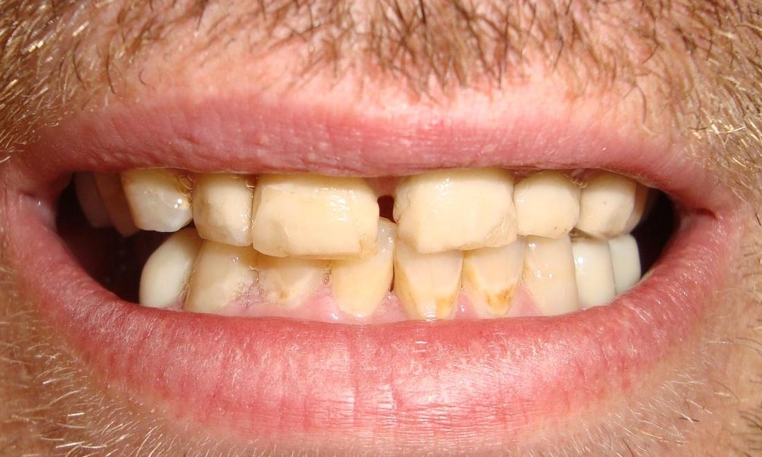
Cosmetic Ceramic Crowns

This patient wanted to improve his smile due to some older fillings that were breaking down. The fillings were initially placed to help control decay, and after he was able to improve his home care it was time to place a more permanent restoration. The teeth were prepared and all-ceramic crowns were inserted on the front six teeth, greatly improving the aesthetics.

Related Services:

Dental Crowns

Service Performed By:

Michael Terveen
Getting an appointment is fast and easy!
If you have difficulty using our website, please email us or call us at (719) 634-4805