Accessible Version
Springs Family Dental

Friendly Staff, Beautiful Smiles,

Welcoming Environment

Ceramic Crowns & Bridges

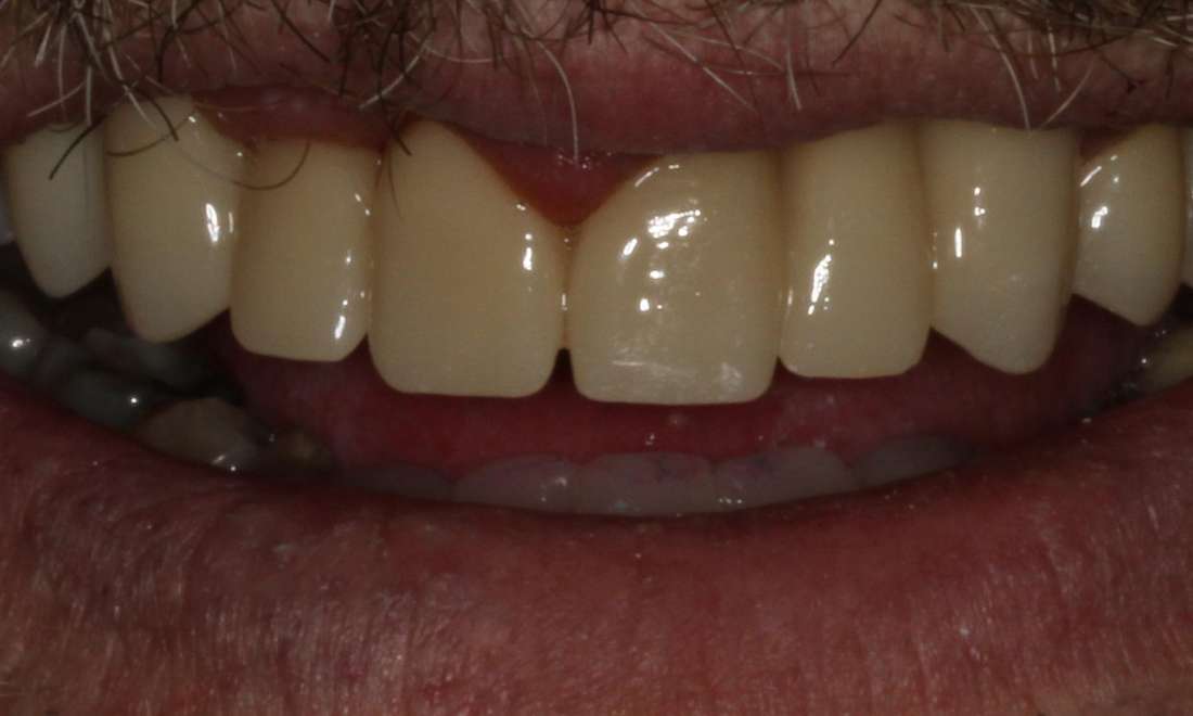
This patient is a survivor of oral cancer, and while the treatment was life-saving, it took a toll on his dental health. He came to us about the condition of his teeth, which had been affected by decay, fractures, and tooth loss. To restore both function and aesthetics, we developed a comprehensive treatment plan involving the placement of custom ceramic crowns and bridges. These restorations not only enhanced the appearance of his smile but also provided essential structural support to help preserve his remaining teeth. The patient was extremely pleased with the transformation. His renewed confidence and improved oral health are a testament to the impact of thoughtful and restorative care.

Related Services:

Dental Crowns
Getting an appointment is fast and easy!
If you have difficulty using our website, please email us or call us at (719) 634-4805